Shërbimet tona
Lista jonë e shërbimeve fillon prej larmishmërisë së degës stomatologji e përgjithshme tek implantologjia, ortodoncia dhe gjithë shërbimet pjesë të stomatologjisë estetike.

Invisalign është një trajtim ortodontik që u mundëson pacientëve të drejtojnë dhëmbët e tyre duke përdorur drejtues të lëvizshëm. Një seri drejtuesish transparentë,
plastikë janë bërë me porosi për buzëqeshjen tuaj, duke lejuar që dhëmbët tuaj të zhvendosen gradualisht me kalimin e kohës.
Rastet që trajtohen duke përdorur Invisalign përfshijnë:
- Kafshim i kryqëzuar
- Kafshim i hapur
- Mungojnë dhëmbët e qumështit dhe të përhershëm
Përfitimet e trajtimit Invisalign përfshijnë:
- Drejtuesit janë praktikisht të padukshëm
- Procesi i trajtimit ofron dhimbje dhe parehati minimale
- Vazhdoni të shijoni të gjitha ushqimet dhe pijet tuaja të preferuara
- Qëndroni aktiv në sportet dhe aktivitetet që ju pëlqejnë
- Në thelb, ju mund të ruani stilin e jetës tuaj ndërsa punoni drejt buzëqeshjes tuaj perfekte.
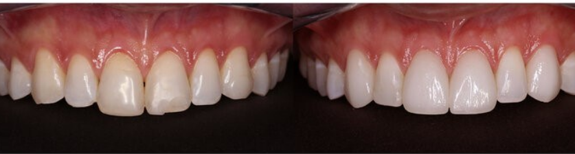
Zbardhja dhe zbardhja e dhëmbëve është shpesh një zgjidhje ideale për pacientët që dëshirojnë një buzëqeshje më të bardhë, por dhëmbët e të cilëve janë në gjendje të shëndetshme. Pacientët, dhëmbët e të cilëve janë të prerë ose të plasaritur, përveç zbardhjes, mund të jenë kandidatë më të mirë për fasetat prej porcelani ose kurora dentare.
Pacientët, dhëmbët e të cilëve janë zbardhur ose njollosur për shkak të procesit natyror të plakjes, pirjes së duhanit ose pijeve të tilla si kafe, çaj, kola dhe vera e kuqe janë kandidatë të shkëlqyer për zbardhjen dhe zbardhjen e dhëmbëve. Ne jemi të përkushtuar të ofrojmë trajtim profesional për të gjithë pacientët, përfshirë ata me dhëmbë shumë të ndjeshëm dhe ata me ankth dentar.
Meqenëse disa zbardhues dhëmbësh mund të çojnë në dëmtim dhe madje edhe ndjeshmëri të dhëmbëve, është e rëndësishme që të keni një konsultë fillestare me dentistët tanë. Kur të vizitoni JasminDent, ne mund të diskutojmë dëshirat tuaja, të shqyrtojmë dhëmbët tuaj për të parë nëse zbardhja është një opsion i mirë dhe t'ju ndihmojmë të zgjidhni produktin më të mirë për të rikthyer buzëqeshjen tuaj.
Kërko preventivMarrja e një fasete dentare zakonisht kërkon tre udhëtime te dentisti - një për një konsultë dhe dy për të bërë dhe aplikuar fasetat. Një dhëmb ose shumë dhëmbë mund t'i nënshtrohen procesit të fasetave në të njëjtën kohë.
Diagnoza dhe planifikimi i trajtimit
Ju do t'i tregoni dentistit tuaj rezultatin që po përpiqeni të arrini. Gjatë këtij takimi, dentisti do të ekzaminojë dhëmbët tuaj për t'u siguruar që fasetat dentare
janë të përshtatshme për ju dhe do të diskutojë procedurën dhe disa nga kufijtë e saj. Ata do të bëjnë planifikim në gojën dhe dhëmbët tuaj.
Përgatitja
Për të përgatitur një dhëmb për një fasetë, dentisti do të riformojë sipërfaqen e dhëmbit, e cila është një sasi pothuajse e barabartë me trashësinë e fletës që do t'i
shtohet sipërfaqes së dhëmbit. Dentisti do të bëjë një model të dhëmbit tuaj. Ky model dërgohet në një laborator dentar, i cili bën fasetën tuaj. Ndërkohë mund të përdoren
fasetat e përkohshme dentare.
Kurorat dhe urat dentare janë zgjidhje më të përhershme për dhëmbët e dëmtuar ose që mungojnë. Ata janë të lidhur me dhëmbët tuaj ose me implantet për të përmirësuar pamjen, shtrirjen ose forcën e dhëmbëve tuaj. Stomatologët tanë mund të punojnë me ju për të zhvilluar një plan trajtimi të personalizuar dhe për të kryer shërbime të kurorës dhe urës dentare për të rikthyer buzëqeshjen dhe besimin tuaj!
Trajtimi i kurorës së dhëmbëve
Një kurorë dentare përdoret në një sërë procedurash të ndryshme dentare, të tilla si zëvendësimi i mbushjeve të mëdha, mbrojtja dhe restaurimi i një dhëmbi të dobët ose të thyer,
mbulimi i një implanti dentar, dhëmbi i zbardhur ose dhëmbi me formë të dobët, ose duke bashkangjitur një urë. Procedura e kurorës dentare fillon me riformimin e dhëmbit ekzistues
në mënyrë që kurora dentare të vendoset mbi të. Më pas, stomatologu do të marrë një planifikim dentare të dhëmbëve tuaj dhe do ta dërgojë atë në laboratorin dentar për të bërë kurorën.
Kurora dentare mund të jetë prej metalesh, akrilik, qeramikë ose porcelani, në varësi të preferencave tuaja dhe nevojave tuaja dentare. Në fund, kurora ngjitet
në dhëmbin e paraformuar me çimento dentare.
Procedura e urës së dhëmbëve
Një urë dentare përdoret për të zëvendësuar një dhëmb që mungon. Nëse keni nevojë për një procedurë urë dentare, mund të prisni që dentisti të dekortikojë dhëmbët në të
dyja anët e boshllëkut dhe të marrë një planifikim dentar. Përsëri, dentisti do ta dërgojë këtë planifikim në një laborator për të bërë urën. Pasi të jetë përfunduar, dentisti do ta
cementojë atë në dhëmbët e riformuar në të dyja anët e boshllëkut, duke krijuar pamjen e dhëmbëve me formë të mirë.
Kurora dhe urat dentare përmirësojnë pamjen dhe funksionin e dhëmbëve tuaj, dhe ato mund të zgjasin një kohë shumë të gjatë nëse kujdesen siç duhet. Nëse keni pyetje ose keni nevojë për
shërbimet e kurorës dhe urës dentare, na kontaktoni online!
Mbushjet dentare përdoren kryesisht si një trajtim i kariesit ose një trajtim për kavitetet (të cilat janë rezultat i prishjes së dhëmbëve) për të rikthyer dhëmbët e prekur në formën dhe funksionin normal, duke parandaluar bakteret të hyjnë në dhëmb dhe të shkaktojnë prishje të mëtejshme. Stomatologët me përvojë në JasminDent janë trajnuar për të ofruar shërbime mbushjeje dentare të përshtatura për nevojat tuaja.
Procedura e mbushjes së dhëmbëve
Së pari, dentisti do të heqë çdo material dhëmbi të prishur dhe do të pastrojë zonën e prekur. Mbushjet prej argjendi ose plastike mund të kryhen me një vizitë dhe materiali
vendoset direkt në zonën e prekur. Nëse jeni duke marrë një mbushje ari ose porcelani, dentisti do të bëjë një planifikim dentare dhe do ta dërgojë atë në një laborator për të bërë
mbushjen. Pasi të jetë gati, gjatë një takimi të dytë mbushja më pas ngjitet me dhëmbin tuaj. JasminDent do të punojë me ju për të përcaktuar se cili material është më i miri për
ju bazuar në shkallën e riparimit të nevojshëm, ku keni nevojë për mbushje në gojën tuaj dhe koston e materialit.
JasminDent ofron një sërë shërbimesh të implanteve dentare dhe procedurave të restaurimit të dhëmbëve. Ne kryejmë kirurgji dhe trajtim implant dentar për dhëmbë të vetëm ose të shumëfishtë. Pra, nëse keni humbur një dhëmb, disa dhëmbë ose shumicën e tyre, ne mund t'ju ndihmojmë t'ju japim një shans të dytë për të pasur buzëqeshjen që meritoni.
Procedura e implantit dentar
Shumica e procedurave të implanteve dentare fillojnë në një mënyrë të ngjashme, pavarësisht nga numri i dhëmbëve që zëvendësohen: një ekzaminim paraprak dhe modelim. Për të marrë
shërbime për implant dentar, duhet të keni mishra të shëndetshëm dhe dhëmbë përreth. Ata me sëmundje periodontale aktive nuk janë kandidatë të mirë për trajtimin e implanteve dentare,
pasi vetë implantet janë të ankoruara nga kocka e nofullës dhe mishrat e dhëmbëve. Dentisti juaj do të përcaktojë nëse mishrat dhe nofullat tuaja janë në gjendje të mirë shëndetësore,
atëherë ai ose ajo do të bëjë një planifikim të dhëmbëve tuaj në mënyrë që dhëmbi zëvendësues të mund të bëhet me porosi për gojën tuaj.
Më pas do t'ju duhet të bëni një operacion të implantit dentar. Dentisti do të vendosë një shtyllë metalike (zakonisht titani) në mishrat e dhëmbëve dhe nofullën tuaj, e cila më vonë
do të shërbejë si një spirancë për restaurimin e dhëmbit. Nëse jeni duke marrë një urë, dentisti juaj do të riformësojë dhëmbët ngjitur me implantin(et) dhe do t'u shtojë kurora implanteve,
duke shtuar stabilitet. Sigurisht, nëse implantet tuaja dëmtohen, ne ofrojmë gjithashtu një sërë shërbimesh të avancuara të restaurimit të implanteve dentare.
A janë shërbimet e implanteve dentare të përshtatshme për ju?
Shërbimet e implanteve dentare janë trajtime ideale për ata me dhëmbë të humbur për shkak të aksidenteve ose lëndimeve dhe që kanë mishra dhe nofulla të shëndetshme. Ata me sëmundje të mishrave
të dhëmbëve ose me karies përreth mund të mos jenë në gjendje të kenë një trajtim të suksesshëm të implantit dentar. Shërbimet e implanteve dentare janë zgjidhje të shkëlqyera për njerëzit që e
shohin protezën të pakëndshme ose problematike, ose ata që kërkojnë vetëm një ose disa zëvendësim të dhëmbëve.
Shërbimet e protezave
Një protezë është një zëvendësues i lëvizshëm për dhëmbët që mungojnë dhe indet përreth. Ekzistojnë dy lloje të shërbimeve të protezave në dispozicion: proteza të pjesshme dhe
proteza të plota. Ekipet e dentistëve shumë të kualifikuar të JasminDent kanë përvojën dhe ekspertizën që ju nevojitet kur bëhet fjalë për protezat e të dy llojeve.
Ne mund t'ju ndihmojmë të rivendosni buzëqeshjen dhe besimin tuaj.
Procedura e protezës së pjesshme
Protezat parciale përdoren kur mbeten disa dhëmbë natyralë, por disa mungojnë. Së pari, dentisti do të bëjë disa mbresa dentare dhe do të marrë disa matje se si nofullat tuaja janë në linjë.
Më pas, ata do të bëjnë modele se si do të shfaqen protezat tuaja dhe ju mund të keni disa pajisje protezash të pjesshme për të siguruar që forma, ngjyra dhe shtrirja e protezave janë të sakta.
Proteza e pjesshme do të derdhet me çdo dhëmb që mungon, dhe ato mund të përfshijnë gjithashtu një kornizë metalike dhe/ose kurora për të mbajtur protezën në vend.
Procedura e protezave të plota
Protezat e plota përdoren kur mungojnë shumica, nëse jo të gjithë, nga dhëmbët tuaj. Krijimi i këtyre protezave ndjek një procedurë të ngjashme me atë të protezave parciale. Dallimi kryesor
është në fillim, ku dentisti mund të ketë nevojë të riformojë ose të heqë dhëmbët që mbeten nëse dëmtohen ose prishen. Përndryshe, dentisti do të bëjë planifikim, do të bëjë matje, do të krijojë
modele, do t'ju thërrasë për pajisje protezash dhe do të krijojë protezat posaçërisht për ju.
Nëse po kërkoni të rivendosni buzëqeshjen tuaj dhe të fshehni dhëmbët që ju mungojnë, na kontaktoni në internet për të caktuar një takim sot.
Të gjitha në 4
Implantet All-on-4 janë një grup i përhershëm i dhëmbëve të fabrikuar të vendosur mbi implante dentare të vendosura në mënyrë kirurgjikale në nofullën tuaj.
Ata duken, ndjehen dhe funksionojnë si dhëmbë natyralë.
Qendra jonë është një nga klinikat e pakta, që përdor guida kirurgjikale, të cilat e bëjnë operacionin të parashikueshëm, të sigurt dhe minimalisht invaziv.
Përfitimet:
- Dhëmbët e përhershëm që mund të lahen dhe pastrohen si dhëmbët natyralë
- Nuk duhet të nxirret jashtë
- Nuk ka nevojë për ngjitës
- Rivendosni tiparet dhe estetikën e fytyrës tuaj
Të gjitha në 6
Trajtimi All-on-6 siguron një lidhje të fortë dhe të sigurt për dhëmbët zëvendësues, gjë që e bën këtë metodë dukshëm më të qëndrueshme dhe më të besueshme se
metodat tradicionale për vendosjen e protezave.
All-on-6 është një zgjidhje efektive për njerëzit që kanë humbur një numër të madh dhëmbësh. Implantet përdoren për të mbështetur protezat dhe për të ruajtur
integritetin strukturor të nofullës pas humbjes së dhëmbit. Vendndodhja dhe vendosja e gjashtë implanteve siguron një forcë të madhe, stabilitet dhe përfitim afatgjatë.
Qendra jonë është një nga klinikat e pakta, që përdor guida kirurgjikale, të cilat e bëjnë operacionin të parashikueshëm, të sigurt dhe minimalisht invaziv.
Përfitimet:
- Dhëmbë të rinj plotësisht funksionalë brenda një kohe të shkurtër
- Përmirësoni vetëbesimin dhe pamjen
- Përmirësoni shëndetin oral
Invisalign është një trajtim ortodontik që u mundëson pacientëve të drejtojnë dhëmbët e tyre duke përdorur drejtues të lëvizshëm. Një seri drejtuesish transparentë,
plastikë janë bërë me porosi për buzëqeshjen tuaj, duke lejuar që dhëmbët tuaj të zhvendosen gradualisht me kalimin e kohës.
Rastet që trajtohen duke përdorur Invisalign përfshijnë:
- Dhëmbë të ngjeshur
- Kafshim i tepërt
- Kafshim i pakët
- Kafshim i kryqëzuar
- Kafshim i hapur
- Dhëmbët e zbrazët
- Mungojnë dhëmbët e qumështit dhe të përhershëm
Përfitimet e trajtimit Invisalign përfshijnë:
- Drejtuesit janë praktikisht të padukshëm
- Procesi i trajtimit ofron dhimbje dhe parehati minimale
- Furçë dhe fill pastres pa kllapa dhe tela
- Vazhdoni të shijoni të gjitha ushqimet dhe pijet tuaja të preferuara
- Qëndroni aktiv në sportet dhe aktivitetet që ju pëlqejnë
- Në thelb, ju mund të ruani stilin e jetës tuaj ndërsa punoni drejt buzëqeshjes tuaj perfekte.
Ortodoncia është një degë e stomatologjisë që merret me pozicionimin e gabuar të dhëmbëve. Një person mund të ketë një kafshim të tepërt, nën kafshim, mbipopullim të dhëmbëve, dhëmbë të shtrembër ose një shtrembërim të nofullës - gjë që mund të shkaktojë probleme me të ngrënit ose të folurit. Në raste të tilla rekomandohen trajtime ortodontike për të ndryshuar ngadalë pozicionimin e dhëmbëve për të qenë më të drejtë dhe më të përafruar. Ortodoncia mund të përdoret edhe për qëllime kozmetike nëse personi dëshiron të ketë një buzëqeshje më të mirë.
Një person mund të lindë me malokluzion ose një pickim të keq, ose mund ta marrë atë me kalimin e kohës nëpërmjet lëndimeve ose zakoneve, të tilla si thithja e gishtit të madh në fëmijëri. Sido që të jetë problemi, është e rëndësishme ta trajtoni atë menjëherë. Malokluzioni ose një "kafshim i keq" mund të jetë në gjendje t'ju shkaktojë probleme me shëndetin oral në afat të gjatë.
Cilat janë përfitimet e Ortodoncisë?
Ortodoncia është e rëndësishme sepse dhëmbët e gabuar ose pozicionimi i gabuar mund të çojë në një rrezik më të lartë të prishjes së dhëmbëve dhe gingivitit.
Një pickim jo i duhur mund t'i bëjë dhëmbët më të vështirë për t'u mësuar ose më të dhimbshëm përdorimin e fillit, duke çuar në higjienë të dobët orale në
ato zona të veçanta - gjë që mund të ndikojë në shëndetin tuaj oral.
Fëmijët duhet të vizitojnë një ortodont deri në moshën shtatë vjeç për të vlerësuar problemet e mundshme të dhëmbëve
dhe nofullës. Trajtimi i hershëm ortodontik është i favorshëm sepse dhëmbët e një fëmije të vogël nuk kanë mbaruar daljen, gjë që lejon
ortodontët të udhëheqin rritjen e fytyrës dhe kockave të nofullës për të adresuar çdo problem në fazën më të hershme të mundshme.
Qëllimi i trajtimit të hershëm është të parandalojë një problem në zhvillim, të eliminojë shkakun dhe të drejtojë rritjen e fytyrës dhe
kockave të nofullës për të përgatitur hapësirë të mjaftueshme për dhëmbët e përhershëm. Një pacient mund të kërkojë një kurs të dytë
trajtimi pasi të gjithë dhëmbët e përhershëm të kenë hyrë për t'i lëvizur ata dhëmbë në pozicionet e tyre më të mira.
Stomatologjia pediatrike është një fushë specializimi që fokusohet në trajtimin e fëmijëve nga lindja deri në adoleshencë me përqendrim në rritjen, zhvillimin dhe udhëzimet e sjelljes si për fëmijët e shëndetshëm ashtu edhe për fëmijët me nevoja të veçanta. Stomatologët tanë janë trajnuar posaçërisht për t'u kujdesur për fëmijët duke përdorur metoda që promovojnë themele të forta në parandalimin dhe kujdesin në shtëpi. Parandalimi dhe edukimi janë të rëndësishëm në praktikën tonë dhe ne e marrim seriozisht që ju dhe fëmija juaj duhet të kuptoni se si të merrni përgjegjësinë dhe të mbroni shëndetin oral të fëmijës suaj. Stafi ynë është gjithmonë në dispozicion për t'iu përgjigjur pyetjeve në lidhje me nevojat dentare të fëmijës suaj dhe shërbimet që ne mund të ofrojmë për trajtimin ideal të fëmijës suaj.
Ne ofrojmë një gamë të gjerë shërbimesh për të përmbushur nevojat e fëmijës suaj, duke përfshirë: Ekzaminimet Gjithëpërfshirëse, Procedurat Kirurgjike, Shërbimet Diagnostike dhe Parandaluese, Kujdesi Emergjent, Procedurat Restauruese, Aparatet zakonore dhe atletike, procedurat kozmetike dhe ortodoncia e hershme.
Fëmija juaj duhet të ketë rregullisht një ekzaminim gjithëpërfshirës dentar, i cili përfshin një ekzaminim të plotë të dhëmbëve dhe mishrave të dhëmbëve. Ne përdorim gjetjet nga ekzaminimi ynë për të formuluar një diagnozë të plotë dhe plan gjithëpërfshirës të trajtimit për fëmijën tuaj.
Dhëmbët natyralë janë idealë për kafshimin, përtypjen dhe ruajtjen e strukturës së gojës dhe nofullës, prandaj prioriteti i parë i një dentisti është të ndihmojë në rivendosjen, ruajtjen dhe riparimin e dhëmbëve tuaj natyralë. Megjithatë, ndonjëherë nxjerrja e dhëmbit është e pashmangshme.
Stomatologët në JasminDent do të sigurohen që të jeni rehat para, gjatë dhe pas procedurës suaj të nxjerrjes. Kjo përfshin kalimin në çdo hap të nxjerrjes së dhëmbit, si dhe përdorimin e anestezisë lokale.
Ndiheni të shqetësuar për nxjerrjen e dhëmbit tuaj? Sigurohuni që të flisni me dentistin tuaj apo të lini një takim këtu për mënyrën se si ndiheni në mënyrë që ai të mund t'ju ndihmojë. Përveç kësaj, këtu janë këshilla të dobishme për tejkalimin e ankthit dentar.
Stomatologjia parandaluese është kujdes dentar që ndihmon në ruajtjen e shëndetit të mirë oral. Është një kombinim i kontrolleve të rregullta dentare së bashku me zhvillimin e zakoneve të mira si larja me furçë dhe filli me fill. Kujdesi për dhëmbët fillon herët në fëmijëri dhe zgjat gjatë gjithë jetës.
Shërbimet stomatologjike parandaluese mund të përfshijnë:
- Kontrollet e rregullta dentare, zakonisht çdo 6 muaj
- Pastrimi i dhëmbëve
- Rrezet X rutinë
Ka shumë lloje të ndryshme të dentistëve dhe specialiteteve dentare. Ato që ofrojnë stomatologji parandaluese përfshijnë:
- Dentist i përgjithshëm:
Një dentist i përgjithshëm mund të quhet edhe dentist i familjes. Ky është ofruesi juaj i preferuar kur keni nevojë për kujdes rutinë parandalues,
si pastrimi i rregullt i dhëmbëve, ekzaminimet dhe rrezet X. Ata gjithashtu do të bëjnë mbushje dhe do të ofrojnë kujdes tjetër bazë. Një nga rolet
kryesore të dentistit tuaj të përgjithshëm është t'ju udhëheqë në kujdesin e duhur dentar për veten tuaj. Ata mund të identifikojnë çdo problem të
mundshëm përpara se të bëhen të mëdha, t'ju ndihmojnë të ndërtoni zakone më të shëndetshme dhe t'ju referojnë te specialistët dentarë nëse keni nevojë për kujdes të mëtejshëm.
- Dentist pediatrik (stomatolog për fëmijë):
Stomatologët pediatër janë të specializuar në kujdesin dentar për fëmijët. Shumica e fëmijëve do të fillojnë me kujdesin dentar sapo të dalë dhëmbi i tyre i parë.
Në shumë raste një dentist pediatrik do të vazhdojë të shohë fëmijët gjatë viteve të adoleshencës. Një dentist pediatrik ofron shërbime stomatologjike parandaluese,
si dhe kujdes më të specializuar kur nevojitet, duke përfshirë ekstrakte, mbushje dhe kirurgji orale në disa raste.
Dhëmbët tuaj ndryshojnë shumë gjatë gjithë jetës suaj, me disa nga ndryshimet më të mëdha që ndodhin midis moshës 17 dhe 21. Kjo është zakonisht kur dhëmbët e tretë, të njohur më mirë si "dhëmbët e pjekurisë", fillojnë të rriten. Nëse jeni një nga të paktët me fat, do të rriten krejtësisht drejt dhe nuk do të kenë kurrë kavitete apo probleme me mishrat e dhëmbëve. Megjithatë, kjo ndodh rrallë ndonjëherë, dhe shumica dërrmuese e njerëzve do të duhet të heqin të paktën një nga dhëmbët e pjekurisë në një moment.
Nëse përjetoni dhimbje kur dhëmbët e pjekurisë fillojnë të dalin, kjo mund të jetë një nga shenjat e para paralajmëruese që do t'ju duhet një heqje. Për shkak të mungesës së hapësirës në gojë, dhëmbët e pjekurisë mund të shtyjnë dhëmbët e tjerë, të dalin anash ose të "ngecin" në kockë ose (të impaktuar). Përveçse mund të duken të shtrembër, nëse dhëmbët e pjekurisë dalin në pozicionin e gabuar, mund të shihni edhe një rritje të kaviteteve në dhëmbët ngjitur. Dhe nëse dhëmbët e pjekurisë mbeten të bllokuar nën mishrat e dhëmbëve, mund të përjetoni dhimbje dhe infeksione në nofulla.
Për shkak se dhëmbët e pjekurisë hiqen më lehtë përpara se rrënjët e tyre të formohen plotësisht dhe të mbërthehen, ne mund të rekomandojmë nxjerrjen parandaluese të dhëmbëve të pjekurisë tek të rinjtë. Me kalimin e moshës, dhëmbët e pjekurisë bëhen më të vështirë për t'u hequr. Rrënjët e tyre rriten më gjatë dhe më thellë, dhe kocka përreth bëhet më e dendur dhe jo aq e përkulshme. Vetë dhëmbët madje mund të shkatërrohen për shkak të kaviteteve ose prishjes, ose mund të kenë zhvilluar infeksione që e bëjnë procedurën më të gjatë dhe më sfiduese. Së fundi, të rriturit mund të zhvillojnë probleme mjekësore që e bëjnë më të vështirë kontrollin e gjakderdhjes dhe shërimin nga procedurat mjekësore në përgjithësi.
Kur duhet të kërkoni kujdes urgjent dentar?
Këtu janë udhëzimet se si të trajtohen shqetësimet dhe lëndimet e zakonshme orale, dhe kur këto kërkojnë kujdes ose shërbime urgjente dentare:
- Dhimbje dhëmbi: Vizitoni dentistin tuaj të urgjencës sapo të ndjeni siklet ose dhimbje.
- Dhëmb i thyer, i copëtuar ose i plasaritur: Shpëlajeni gojën me ujë të ngrohtë dhe aplikoni një kompresë të ftohtë në fytyrë. Shkoni menjëherë te dentisti. Nëse dhëmbi është thyer ose copëtuar, sillni fragmentin e dhëmbit të mbështjellë me garzë të lagur ose një peshqir të lagur.
- Dhëmb i liruar ose i rrëzuar: Nëse dhëmbi juaj lirohet për shkak të traumës, telefononi klinikën. Për një dhëmb të këputur, futeni me kujdes dhëmbin e humbur përsëri në fole nëse është e mundur, duke e mbajtur dhëmbin nga kurora duke përdorur një leckë të pastër. Nëse dhëmbi është i ndotur,
fillimisht shpëlajeni rrënjën, por mos e fërkoni dhe mos hiqni ndonjë ind të ngjitur. Nëse rifutja nuk është e mundur, mbajeni dhëmbin nën gjuhë dhe shkoni menjëherë në klinikë.
- Nofulla e thyer: Aplikoni akull ose një kompresë të ftohtë në fytyrë. Shkoni menjëherë te dentisti juaj ose një qendër urgjence.
- Gjuhë ose buzë e kafshuar: Pastroni zonën me një leckë të lagur dhe vendosni një kompresë të ftohtë në zonë për të reduktuar ënjtjen. Nëse gjakderdhja vazhdon ose nëse është e tepruar,
shkoni në klinikë menjëherë.
Procedura e nevojshme për të shtuar indin kockor në brendësi të kreshtës alveolare përbëhet nga një operacion i vogël dentar, i cili i paraprin vetë implantit.
Teknikat për futjen e materialit mbushës kockor mund të jenë të ndryshme, në varësi të rastit specifik që do të trajtohet. Një nga metodat më të njohura sot përfshin përdorimin e membranave speciale, ose "fletave" të paraformuara të materialit biokompatibël, për t'u pozicionuar mbi zonën ku do të shtohet indi kockor.
Këto fletë kanë funksionin e krijimit të një kaviteti të zbrazët dhe të izoluar, brenda së cilës do të mund të vendoset kocka heterologe ose autologe e zgjedhur. Pasi implantologu të ketë mbaruar futjen e transplantit, zona e operuar do të mjekohet dhe do të mbyllet me qepje.
Do të jetë e nevojshme të prisni një periudhë prej disa muajsh, për të lejuar që materiali mbushës të integrohet siç duhet me kockën natyrale, përpara se të mund të aplikoni rrënjën e re artificiale të titanit. Ndonjëherë, vetëm në kushtet e mungesës së lehtë kockore, në vend të kësaj do të jetë e mundur të futet implanti në të njëjtën seancë me transplantin.
Për të siguruar suksesin e një trajtimi të këtij lloji, prania e higjienës orale të përsosur është thelbësore, ndaj kërkohet përzgjedhje e kujdesshme e pacientit. Aftësia për të mbajtur pastrimin optimal të dhëmbëve me kalimin e kohës është thelbësore për të parandaluar infeksionet e mundshme të zonës së implantit, të cilat janë shumë të dëmshme për të gjithë procedurën kirurgjikale.
Nëse ju kanë humbur dhëmbët dhe dëshironi t'i zëvendësoni me implante endosse, por keni pak kockë, kontaktoni specialistët e Ordinancës sonë Dentare JasminDent, të cilët janë ekspertë në kirurgjinë e avancuar. Ne do të shpjegojmë më në detaje se çfarë është shartimi i kockave dentare dhe do të gjejmë zgjidhjen më të mirë për t'ju bërë të buzëqeshni sërish, duke përfituar nga potenciali i shumëfishtë i implantologjisë.